Ordinace Šumperk

O léčbě

Průběh ortodonické léčby

Konzultace

Na první návštěvu k nám pacient může přijít i bez doporučení ošetřujícího stomatologa. V této návštěvě Vás informujeme o typu ortodontické vady a upřesníme, kdy je vhodné začít s léčbou. Budete poučeni ohledně postupu terapie, typu zvoleného aparátu (sundávací rovnátka, rovnátka na pevno nebo neviditelné rovnátka Invisalign), délky léčby a finanční stránky léčby. Dále budete objednáni na vstupní vyšetření v další návštěvě.

Vstupní vyšetření

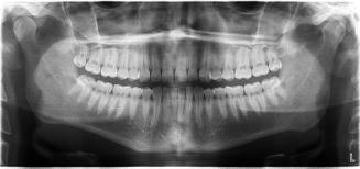
Před zahájením ortodontické léčby je nutné naplánovat léčebný postup. Při vstupním vyšetření si zakládáme dokumentaci k řádnému naplánování terapie. V této návštěvě si pacienta fotíme, otiskujeme horní i dolní zuby, zjišťujeme anamnézu a rovněž zhotovujeme rentgeny (opg a boční snímek lebky, případně rtg ruky).

Plán léčby

V této návštěvě budete seznámeni s přesným léčebným postupem, jaký typ aparátu (snímací/ fixní/ Invisalign) bude zvolen, jaká bude délka a přesná cena léčby. 

Aktivní fáze léčby

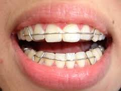
a) fixním aparátem (zámečky, kroužky nalepené na pevno, průběžné drátěné oblouky připevněné gumičkami k aparátu)

Průměrná doba léčby je cca 2 roky, dle závažnosti ortodontické vady. Pravidelné návštěvy po 4-6 týdnech. Při pravidelných kontrolách dochází k výměnám drátěných oblouků a elastických barevných gumiček. Postupně se přechází ze slabých pružných oblouků na silnější rigidní ocelové oblouky. Pacient může cca 2-3 dny po každé výměně oblouku cítit mírné mravenčení, event. táhnutí.

Nutná je dobrá spolupráce pacienta při čištění zubů v okolí fixního aparátu. Na hygienu v průběhu léčby je kladen velký nárok. Každý pacient je důkladně vyškolen ohledně čištění zubů s fixním aparátkem, včetně doporučení potřebných kartáčků.

Jakmile je léčbou dosaženo patřičného výsledku, zuby jsou rovné a správně do sebe zakusují, dochází k sejmutí fixního aparátu. Následuje retenční fáze léčby.

b) snímacím aparátem

Používají se pouze pro léčbu určitých typů vad. Své uplatnění nachází zejména u dětí do 10-12 let se smíšeným chrupem (kombinace dočasných a stálých zoubků). Pro léčbu ve stálém chrupu se již dnes téměř nepoužívají. Sundávací aparátek závisí na spolupráci pacienta. Pacient i rodiče jsou přesně poučeni ohledně způsobu nasazení, nošení a manipulaci. Pravidelné kontroly probíhají po 1-2 měsících. Snímací aparátky fungují často jako předléčení. Vytváří lepší prostorovou situaci pro prořezání všech stálých zubů a pro pozdější navazující léčbu fixním aparátem.

Retenční fáze léčby

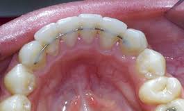
Každá ortodontická vada má přirozenou tendenci vracet se do původní pozice, tedy recidivovat. K zabránění recidiv je nutno nosit po léčbě sundávací rovnátko (retenční deska nebo fóliová dlaha) k udržení stavu vyrovnaných zubů. Tato retenční zařízení se nosí první měsíce po sejmutí fixního aparátu intenzivně (16 hodin denně), poté intenzita nošení postupně klesá. Zároveň po léčbě podlepujeme přední zuby ze zadní strany tenkým drátkem ( fixní retainer), který má také za úkol zuby po léčbě udržet v požadované pozici.

Způsob léčby

  • snímacím aparátem - ve smíšeném chrupu u dětí
  • fixním aparátem - ve stálém chrupu, u teenagerů, ale i dospělých. Zámky mohou být buď kovové nebo estetičtější keramické:
  • systém neviditelných dlah INVISALIGN:

INVISALIGN jsou nová neviditelná snímací rovnátka léčící pacienta komfortně a bez povšimnutí okolí. Terapie představuje sérii snímatelných nosičů nošených v předem stanoveném pořadí, vyrobených z průsvitné fólie.

Dentální hygiena

Spolupracujeme s dentální hygienistkou, která se postará o čistotu Vašeho chrupu. Ke každému pacientovi má vysoce individuální přístup.Návštěva dentální hygieny je spoplatněna částkou 1300 Kč, v rámci této ceny pacient dostane kartáček Curaprox a 2 mezizubní kartáčky TePe.

Co nabízíme?

  • důkladnou hygienickou instruktáž, motivaci pacienta ke správnému čištění, nácvik čištění chrupu s individuálním přístupem ke každému pacientovi
  • kompletní vyčištění chrupu, fluoridace, odstranění zubního kamene
  • k dispozici výběr ze široké škály kartáčků
  • odstranění pigmentací pískováním ( tzv. air-flow)
  • bělení zubů ordinační i domácí
  • lepení dentálních šperků